Một số bệnh nhân có các biểu hiện như ho ra đờm, khó thở có thể được bác sĩ chỉ định chụp X-quang phổi. Sau khi chụp, hình ảnh X-quang hiển thị phổi bị màu trắng khiến nhiều người hoang mang không biết bản thân mắc vấn đề gì. Bài viết này, sẽ giúp bạn hiểu rõ hơn phổi bị trắng là bệnh gì và có nguy hiểm hay không.
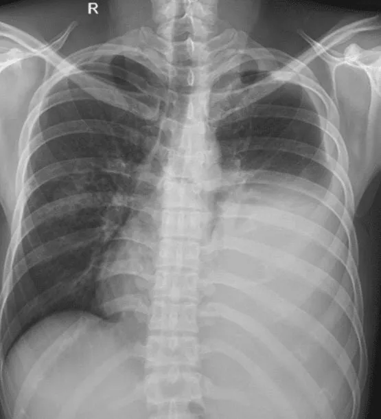
Chụp X-quang thấy phổi bị trắng nghĩa là gì?
Chụp X-quang phổi là kỹ thuật được dùng nhiều nhất trong tầm soát, phát hiện và chẩn đoán các tổn thương của nhu mô phổi. Phương pháp này sử dụng năng lượng bức xạ từ tia X đi xuyên qua những cơ quan trong lồng ngực để ghi lại hình ảnh. Từ đó, bác sĩ có thể phát hiện các dấu hiệu lâm sàng, tìm ra nguyên nhân gây bệnh và lựa chọn các phương pháp can thiệp phù hợp.
Chụp X-quang thấy phổi bị trắng có thể báo hiệu nhiều vấn đề về phổi, nhưng không có một câu trả lời cụ thể nào vì bác sĩ sẽ cần so sánh các vùng phổi trên, giữa và dưới ở bên trái và bên phải. Nhìn chung, hình ảnh phổi bị trắng cần nhiều sự đánh giá hơn để có thể xác định được vấn đề. Sự bất đối xứng của mật độ phổi được thể hiện dưới dạng độ trắng bất thường hoặc độ đen bất thường trên phim chụp.
Ví dụ, trong trường hợp các tổn thương lấp đầy phế nang (hay còn gọi là dấu hiệu phế quản hơi), hình ảnh X-quang phổi bị trắng có thể có vệt sáng, chia nhánh; thông thường, đây có thể báo hiệu cho tình trạng viêm phổi nhiễm khuẩn (thường chỉ thấy ở giai đoạn đầu), ho máu, phù phổi, v.v. Ngoài ra, một trường hợp khác là nốt đơn độc tại phổi sẽ xuất hiện dưới dạng phổi bị đốm trắng có đường kính nhỏ hơn 3cm; đây có thể do nhiễm trùng phổi, nhiễm nấm, v.v.
Tóm lại, bác sĩ sẽ là người đánh giá và chẩn đoán hình ảnh X-quang phổi bị màu trắng. Hình ảnh này không thể đưa ra câu trả lời chính xác cho việc bạn đang mắc bệnh gì mà còn căn cứ vào nhiều yếu tố khác nhau.
[embed-health-tool-bmi]
Nguyên nhân gây ra hiện tượng phổi bị trắng

Phổi bị trắng do đâu? Một số các tình trạng phổi có thể hiển thị hình ảnh X-quang phổi bị màu trắng như sau:
- Nốt đơn độc phổi (pulmonary nodule): hiển thị dưới dạng phổi bị một đốm trắng có đường kính nhỏ hơn hoặc bằng 3cm. Phổi bị trắng do nốt đơn độc phổi có thể do bệnh ung thư, bệnh lao, viêm phổi, nhiễm nấm, sẹo do nhiễm trùng trong quá khứ.
- Khối (mass): hiển thị dưới dạng phổi bị một đốm trắng dày đặc có đường kính lớn hơn 3cm, thường do bệnh ung thư.
- Đông đặc phổi (consolidation): hiển thị hình ảnh các đám trắng trên xquang, nguyên nhân do nhiễm vi khuẩn, virus gây ra viêm phổi hoặc áp xe phổi, lao phổi..v..v… Vùng đông đặc phổi thường chứa các túi khí bên trong nên thường là đám trắng không đồng nhất.
- Xơ phổi (fibrosis): một vùng phổi bị tổn thương tạo thành sẹo, gây co rút các phần xung quanh.
- Xẹp phổi (collapse): là nguyên nhân quan trọng gây ra phổi bị trắng trên hình ảnh X-quang. Đây là tình trạng phổi bị xẹp một phần hay toàn bộ do tắc nghẽn đường dẫn khí đến các phế nang hoặc do tác động từ việc tràn khí, tràn dịch màng phổi.
- Dày màng phổi (pleural thickening): xuất hiện màu trắng ở vùng ranh giới ngoại vi phổi, là hậu quả của quá trình lành sẹo do viêm nhiễm màng phổi trước đó.
- Mảng xơ cứng màng phổi (pleural plaques): Chúng trông giống như dày màng phổi nhưng có thể dày hơn.
- Tràn dịch màng phổi (pleural effusion): tình trạng này hiển thị dưới dạng phổi bị màu trắng thay vì màu đen do có không khí trong phổi. Tràn dịch màng phổi xảy ra do sự tích tụ chất lỏng trong khoảng trống giữa mặt ngoài của phổi và thành ngực (khoang màng phổi), chèn ép nhu mô phổi. Tình trạng này có các mức độ khác nhau, có người lấp đầy 1/4 bên trái hoặc bên phải của ngực, một số lấp đầy toàn bộ bên trái hoặc bên phải của ngực.

- Tràn khí màng phổi (pneumothorax): không khí có màu đen khi chụp X-quang và các bộ phận cơ thể hoặc các bộ phận bất thường trông có màu trắng tích tụ trong khoang màng phổi. Điều này xảy ra khi kén khí hoặc bóng khí (một số người mắc phải, số khác thì không) ở bề mặt bên ngoài của phổi tự vỡ ra (không có vết thương nào) hoặc có thể xảy ra do một tai nạn dẫn đến vết thương ở ngực.
Yếu tố nguy cơ có thể ảnh hưởng sức khỏe phổi
Bạn có thể mắc một số tình trạng phổi bị màu trắng kể trên nếu thường xuyên tiếp xúc với các yếu tố nguy cơ sau:
- Hút thuốc lá hoặc hít phải khói thuốc lá: Hút thuốc có thể gây ra bệnh phổi vì làm tổn thương đường thở và các túi khí nhỏ (phế nang) trong phổi của bạn. Các tổn thương phổi do hút thuốc như bệnh phổi tắc nghẽn mạn tính (COPD) bao gồm khí phế thũng và viêm phế quản mãn tính. Hút thuốc lá là nguyên nhân gây ra hầu hết các trường hợp ung thư phổi.
- Sự thay đổi thất thường của thời tiết: Một số ảnh hưởng từ thời tiết có thể khiến bệnh nhân dễ mắc phải những bệnh lý đường hô hấp, điển hình như tình trạng ho khan, ho có đờm kéo dài, viêm phổi, viêm phế quản… Nếu tình trạng này tái diễn nhiều lần và không được điều trị dứt điểm thì sẽ là điều kiện thuận lợi để gây ra tình trạng phổi màu trắng.
- Ô nhiễm môi trường đang sinh sống: Hít phải chất ô nhiễm trong không khí có thể gây kích ứng đường thở và có thể gây khó thở, ho, thở khò khè, các cơn hen suyễn và đau ngực. Tiếp xúc với ô nhiễm không khí khiến bạn có nguy cơ bị ung thư phổi, đau tim, đột quỵ,… đây là những tình trạng có thể hiển thị dưới dạng phổi bị màu trắng khi chụp X-quang.
Phổi bị trắng có nguy hiểm không? Có gây tử vong không?
Hình ảnh X-quang phổi bị trắng có thể báo hiệu bệnh lý nguy hiểm, nhưng phải tùy vào trường hợp cụ thể mới biết được mức độ, nguy cơ. Chụp X-quang ngực thường chỉ có thể gợi ý hoặc chỉ ra bệnh mà người đó có thể mắc phải nhưng không thể đưa ra chẩn đoán chính xác. Do đó, các bác sĩ thường khuyên chụp thêm CT ngực khi phát hiện thấy bất thường trên X-quang ngực.
Một số bệnh nhân phát hiện sớm các bất thường ở phổi thì vẫn có thể điều trị bệnh thành công và sinh hoạt cuộc sống bình thường như bao người. Nếu bạn có bất kỳ nỗi lo lắng nào về hình ảnh X-quang thấy phổi bị trắng, bạn hãy tham khảo ý kiến của bác sĩ để hiểu rõ hơn về sức khỏe của mình.
Hiện tượng phổi trắng có trị được không?
Tình trạng phổi bị trắng có thể điều trị được, nhưng mức độ nghiêm trọng của tình trạng này và nguyên nhân gây ra nó sẽ ảnh hưởng đến khả năng điều trị.
Tùy thuộc vào nguyên nhân gây ra phổi trắng, bác sĩ sẽ đưa ra phương pháp điều trị phù hợp. Nếu phổi trắng là do viêm phổi, bác sĩ sẽ kê đơn thuốc kháng sinh để điều trị nhiễm trùng. Nếu phổi trắng là do xơ phổi, bác sĩ có thể kê đơn thuốc để kiểm soát các triệu chứng và ngăn ngừa biến chứng.
Trong trường hợp phổi trắng là do các bệnh lý khác, bác sĩ sẽ điều trị các bệnh lý đó để cải thiện tình trạng phổi.
Cần làm gì để phòng ngừa bệnh về phổi và bảo vệ phổi?

Để tránh nhìn thấy tình trạng phổi bị màu trắng trên hình chụp X-quang, Hello Bacsi gợi ý bạn một số cách để bảo vệ cho sức khỏe phổi của mình:
- Từ bỏ việc hút hoặc không bắt đầu hút thuốc.
- Hạn chế tiếp xúc với ô nhiễm không khí ngoài trời, tránh giao thông đông đúc.
- Tránh bị hút thuốc lá thụ động, yêu cầu bạn bè và gia đình không hút thuốc trong nhà hoặc trong ô tô.
- Hướng tới một cơ thể khỏe mạnh. Nghiên cứu đã chỉ ra giảm cân có thể làm giảm chứng ngưng thở khi ngủ ở những người bị chẩn đoán mắc bệnh béo phì.
- Hãy hoạt động thể chất để giúp tăng cường tim và phổi hoạt động hiệu quả hơn. Hoạt động thể chất cũng có thể làm giảm nguy cơ chấn thương hoặc bệnh phổi.
- Giảm ô nhiễm không khí trong nhà bằng cách đảm bảo nơi bạn sống và làm việc được thông gió tốt và được làm sạch thường xuyên để ngăn ngừa sự tích tụ của các chất gây dị ứng, bụi và nấm mốc.
- Hãy đề phòng bệnh cúm theo mùa và viêm phổi, hãy tiêm phòng cúm hàng năm. Bạn có thể tham khảo bác sĩ về vắc xin ngừa bệnh viêm phổi.
- Sử dụng thiết bị bảo hộ nếu bạn làm việc trong ngành có nguy cơ tiếp xúc với bụi, silic, chất gây dị ứng, khói hóa chất hoặc ô nhiễm không khí trong nhà hoặc ngoài trời khác.
Hy vọng qua bài viết, bạn đã hiểu rõ hơn về tình trạng phổi bị trắng trên phim chụp X-quang. Người có thể đưa ra kết luận thông qua hình ảnh X-quang và biết phương pháp hỗ trợ bạn tốt nhất là bác sĩ. Do đó, hãy tham khảo ý kiến của bác sĩ để hiểu về tình trạng sức khỏe của mình cũng như biết cần làm gì để chăm sóc phổi bạn nhé!































