
Tìm hiểu chung
Gãy xương do mỏi là gì?

Gãy xương do mỏi là những vết nứt nhỏ từ trong xương gây ra bởi việc cử động, vận động lặp đi lặp lại hay di chuyển liên tục, chẳng hạn như chạy bộ quá lâu không ngừng nghỉ. Gãy xương do mỏi cũng có thể là tình trạng tiến triển từ bệnh lý loãng xương.
Tình trạng gãy xương này xảy ra phổ biến nhất ở các xương chịu trọng lượng của cơ thể như xương cẳng chân và bàn chân. Vận động viên điền kinh và chiến sĩ trong quân đội mang vác nặng, phải đi quãng đường dài là những đối tượng có nguy cơ bị gãy xương do mỏi cao nhất. Tuy nhiên, tình trạng này trên thực tế có thể xảy ra ở mọi người thuộc mọi lứa tuổi, thường xảy ra đối với các đốt xương bàn chân – những xương dài nằm trên vòm bàn chân hoặc các xương gót chân hoặc trên xương cẳng chân như xương chày, xương mác. Đây là loại gãy xương không gây biến chứng.
[embed-health-tool-bmi]
Triệu chứng
Những dấu hiệu và triệu chứng của gãy xương do mỏi là gì?
Khi bị gãy xương do mỏi, ban đầu, người bệnh có thể hầu như không nhận thấy cơn đau nhưng sau đó tình trạng có xu hướng xấu đi theo thời gian. Người bệnh có thể nhận thấy một số dấu hiệu như:
- Cảm giác đau, sưng nề nhẹ thường bắt đầu tại một vùng cụ thể nơi xương gãy, sờ nắn vào gây đau nhói
- Cảm giác đau tăng lên khi đặt bàn chân xuống đất, giảm bớt khi để bàn chân ở tư thế nghỉ ngơi
- Đôi khi xuất hiện một ổ tụ máu kín, không có triệu chứng khác, không sốt, không nổi hạch, sức khỏe bình thường
Hãy nhanh chóng đến bệnh viện kiểm tra nếu cơn đau kéo dài, không đáp ứng với các biện pháp giảm đau hoặc trở nên nghiêm trọng ngay cả khi không vận động, đau nhiều vào ban đêm.
Nguyên nhân
Nguyên nhân của gãy xương do mỏi là gì?
Nguyên nhân của tình trạng này là do tăng tần số hoặc cường độ của một hoạt động vận động quá nhiều, quá nhanh, gây ra các chấn thương nhỏ. Nếu các chấn thương ngày càng nhiều lên mà không kịp hồi phục có thể gây gãy xương. Bên cạnh đó, khi xương chưa kịp làm quen trong một tư thế hoạt động mới, không đủ thời gian điều chỉnh cho quen dần thì cũng có thể bị nứt.
Các nguyên nhân khác của gãy xương do mỏi bao gồm:
- Kỹ thuật tập luyện thể thao không chính xác, tạo áp lực lên xương
- Thay đổi bề mặt vận động, chẳng hạn như từ một bề mặt mềm (máy chạy bộ trong nhà) đến bề mặt cứng hơn (vỉa hè hoặc đường phố)
- Hoạt động lặp đi lặp lại trong một số môn thể thao tác động cao, chẳng hạn như chạy đường dài, bóng rổ, quần vợt, chạy marathon, thể dục dụng cụ và khiêu vũ…
- Loại giày dép không phù hợp (giày có đế quá mòn, quá mỏng hoặc quá cứng).
- Mắc một số bệnh lý về chân có thể ảnh hưởng đến cách bàn chân chạm đất, chẳng hạn như chứng bàn chân bẹt
- Loãng xương hoặc các bệnh khác làm suy yếu độ bền và mật độ xương. Vận động viên nữ có chu kỳ kinh nguyệt không đều hoặc không có kinh nguyệt cũng có thể có mật độ xương thấp hơn
- Thiếu vitamin D
Chẩn đoán và điều trị
Những thông tin được cung cấp không thể thay thế cho lời khuyên của các chuyên viên y tế. Hãy luôn tham khảo ý kiến bác sĩ.
Những kỹ thuật y tế nào giúp chẩn đoán gãy xương do mỏi?
Bác sĩ có thể sử dụng các kỹ thuật sau để chẩn đoán tình trạng xương của người bệnh.
Kiểm tra thể chất
Trong lần khám đầu tiên, bác sĩ cần nắm được các chi tiết về người bệnh chẳng hạn như bệnh sử, công việc, hoạt động và các loại thuốc đang dùng. Bác sĩ tiến hành kiểm tra bàn chân hoặc mắt cá chân của người bệnh.
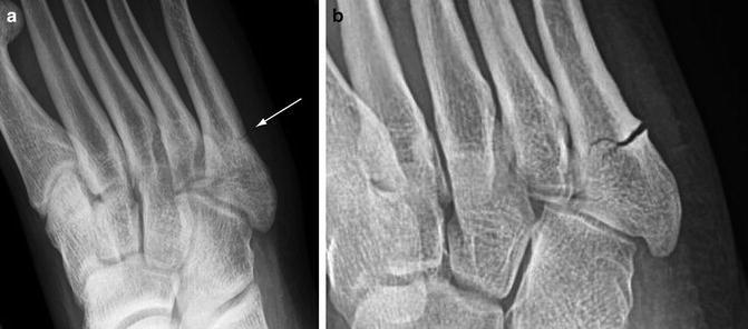
Chụp X-quang
Một vết nứt nhỏ ở xương đôi khi khó nhận ra trên phim X-quang nên phương pháp này có thể không giúp chẩn đoán gãy xương do mỏi trừ khi xương đã bắt đầu lành. Khi này, xương tạo ra một vết chai có thể nhìn thấy nhờ vào tia X.
Xạ hình xương
Trong quá trình xạ hình xương, một chất đánh dấu (chất phóng xạ) được tiêm vào máu của người bệnh. Hình ảnh xạ hình làm nổi bật các khu vực hiện diện những bất thường liên quan đến bệnh tật hoặc chấn thương như gãy xương.
Chụp cộng hưởng từ (MRI)
Chụp cộng hưởng từ (MRI) là một phương pháp chẩn đoán hình ảnh sử dụng lực nam châm mạnh, sóng radio và một máy tính để hiển thị hình ảnh chi tiết bên trong cơ thể. MRI được ưu tiên trong nhiều trường hợp vì không có nguy cơ phơi nhiễm phóng xạ, tiết kiệm thời gian hơn và tốt hơn trong chẩn đoán các bất thường về xương hoặc mô mềm.
Những phương pháp nào điều trị gãy xương do mỏi?
Nếu các triệu chứng của bạn phù hợp với tình trạng gãy xương do mỏi, hãy đến bệnh viện kiểm tra để được chẩn đoán và làm theo hướng dẫn điều trị mà bác sĩ đưa ra. Đừng nhịn đau vì tình trạng có thể diễn tiến tệ hơn, gây ra những vấn đề nghiêm trọng khác về sức khỏe. Bên cạnh đó, người từng bị gãy xương do mỏi có xu hướng dễ bị gãy xương về sau.
Bác sĩ có thể yêu cầu người bệnh thực hiện các phương pháp sau:
- Dừng các hoạt động gây đau đớn
- Sử dụng túi chườm lạnh lên vùng xương bị đau sưng
- Nghỉ ngơi trong 1–6 tuần, sau đó người bệnh có thể thực hiện các hoạt động nhẹ để kiểm tra có còn bị đau hay không rồi tăng dần cường độ tập
- Khi nằm, nâng chân bị gãy lên cao hơn so với ngực
- Sử dụng giày phù hợp cho loại hình vận động để giảm áp lực lên chân hoặc bàn chân
- Bác sĩ có thể bó bột để cố định xương bị gãy. Một số trường hợp gãy xương do mỏi cần phẫu thuật và sử dụng ốc, vít cố định lại.
- Người bệnh có thể cần sử dụng nạng để nâng đỡ trọng lượng cơ thể cho đến khi xương lành
Nếu người bệnh bị đái tháo đường, hãy nhanh chóng đến bệnh viện khi xương bị đau hoặc gặp các vấn đề khác với chân, mắt cá chân hoặc ngón chân.
Phải mất 6–8 tuần để một vết nứt xương do mỏi lành lại, vì vậy việc ngừng thực hiện các hoạt động có thể tăng nguy cơ gãy xương là điều quan trọng. Hãy luôn tham khảo ý kiến bác sĩ trước khi thực hiện bất kỳ hoạt động thể chất nào cần sử dụng bàn chân hoặc mắt cá chân bị thương.
Phòng ngừa
Những biện pháp nào giúp phòng ngừa gãy xương do mỏi?
Bạn có thể thực hiện các biện pháp đơn giản để ngăn ngừa gãy xương do mỏi, chẳng hạn như:
- Thay đổi từ từ. Với bất kỳ bộ môn hay bài tập thể dục mới, hãy bắt đầu từ từ và tăng dần cường độ.
- Sử dụng giày dép phù hợp. Hãy bảo đảm mình mang giày vừa vặn và phù hợp với hoạt động. Bạn có thể tham khảo ý kiến bác sĩ nếu mắc những bệnh lý về chân.
- Tập luyện chéo (cross-training). Đây là thuật ngữ chỉ việc thực hiện một số bài tập khác nhau nhằm bổ trợ và có liên quan đến hình thức tập luyện chính, rất cần thiết cho các vận động viên. Nó giúp cơ thể có thể duy trì được thể lực cao khi tập luyện lâu dài, tránh tạo áp lực lên 1 vùng liên tục.
- Chế độ dinh dưỡng hợp lý. Để giữ cho xương chắc khỏe, hãy đảm bảo một chế độ ăn uống đầy đủ canxi, vitamin D cũng như các chất dinh dưỡng khác.
Tiên lượng bệnh
Nếu không điều trị, gãy xương do mỏi có ảnh hưởng như thế nào?
Một số trường hợp gãy xương do mỏi nếu không lành đúng cách có thể gây ra các vấn đề mạn tính. Khi không được thăm khám, chữa trị kịp thời hay quan tâm khắc phục nguyên nhân, tình trạng gãy xương do mỏi có thể xảy ra liên tục, tồi tệ hơn, dễ gây tàn tật. Ngoài ra, người bệnh cũng có thể bị viêm khớp.
Hello Bacsi không đưa ra các lời khuyên, chẩn đoán hay phương pháp điều trị y khoa.








