Bệnh zona hay còn được gọi là zona thần kinh (dân gian gọi là giời leo) có thể gây phát ban ở bất kỳ vị trí nào trên cơ thể. Sẽ đau đớn và phiền phức nhiều hơn nếu bệnh zona thần kinh ở mặt. Vì vậy hãy cùng tìm hiểu cụ thể về căn bệnh này, biểu hiện như thế nào, cách điều trị ra sao để sớm hồi phục bạn nhé!
Tìm hiểu chung
Bệnh zona thần kinh ở mặt là gì?
Bệnh zona hay giời leo là một bệnh nhiễm trùng thần kinh do virus herpes varicella zoster gây ra.
Bệnh zona thần kinh ở mặt xuất hiện khi virus hoạt động ở các dây thần kinh trên mặt, thường là ở một bên mặt và xung quanh mắt. Tình trạng phát ban bao gồm các mụn nước thường đóng vảy trong 7 đến 10 ngày và khỏi hoàn toàn trong vòng từ 2 đến 4 tuần.
Bệnh zona thần kinh trên mặt gây cảm giác đau đớn, mất thẩm mỹ và đôi khi gây ra các biến chứng về lâu dài. Không có cách để tránh zona tái phát nhưng điều trị sớm sẽ giảm nguy cơ biến chứng nghiêm trọng.
Bạn có thể quan tâm: Zona thần kinh ở mắt và những điều liên quan
Triệu chứng
Những dấu hiệu và triệu chứng bệnh zona thần kinh ở mặt
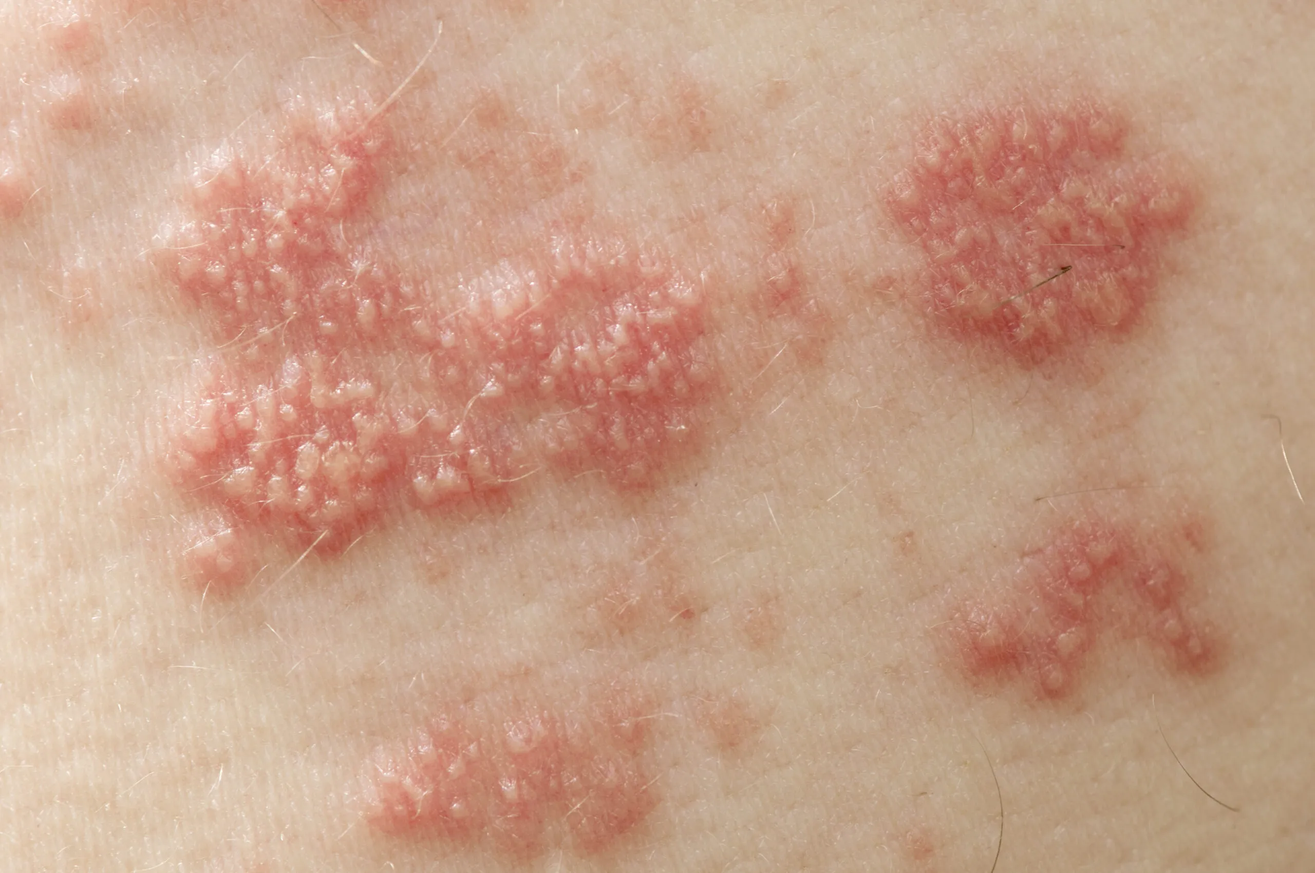
Triệu chứng bệnh zona thần kinh ở mặt là gây phát ban đỏ, tạo thành một dải ở một bên mặt. Phát ban có thể xuất hiện bất kỳ vị trí nào trên mặt, thậm chí là lan từ tai đến mũi và trán. Nó cũng có thể lan ra xung quanh một bên mắt, gây đỏ và sưng vùng mắt. Phát ban do bệnh zona thần kinh trên mặt thỉnh thoảng phát triển trong miệng.
Nhiều người cảm thấy ngứa ran hoặc đau đớn vài ngày trên mặt trước khi nốt mụn phát ban đầu tiên xuất hiện. Phát ban bắt đầu dưới dạng mụn nước chứa đầy dịch. Mụn nước có thể mọc nhiều thành cụm lớn trông giống như vết bỏng. Sau đó, mụn nước vỡ ra, chảy dịch và đóng vảy. Cuối cùng, vảy bắt đầu rơi ra.

Các triệu chứng khác của bệnh zona có thể bao gồm
- Sốt
- Đau đầu
- Ớn lạnh
- Bụng khó chịu
- Mệt mỏi
- Nhạy cảm với ánh sáng.
Khi nào nên đến gặp bác sĩ?
Hãy đến thăm khám bác sĩ càng sớm càng tốt nếu bạn nghi ngờ mắc bệnh zona thần kinh ở mặt, đặc biệt là trong các trường hợp sau:
- Đau và phát ban xảy ra gần mắt. Nếu không được điều trị, nhiễm trùng này có thể dẫn đến tổn thương mắt vĩnh viễn.
- Bạn 50 tuổi trở lên. Tuổi tác làm tăng nguy cơ biến chứng.
- Bạn hoặc ai đó trong gia đình bạn bị suy giảm hệ thống miễn dịch. Điều này có thể là do ung thư, thuốc men hoặc bệnh mãn tính.
- Phát ban lan rộng và đau đớn.
Nguyên nhân
Nguyên nhân gây bệnh zona thần kinh ở mặt là gì?
Bệnh zona thần kinh ở mặt do virus varicella zoster (VZV) gây ra, cùng một loại virus gây bệnh thủy đậu. Sau khi bạn khỏi bệnh thủy đậu, virus sẽ ở trạng thái không hoạt động trong các dây thần kinh. Virus có thể kích hoạt lại và di chuyển dọc theo các đường thần kinh đến da gây bệnh zona bất cứ lúc nào. Nhưng không phải ai bị thủy đậu cũng sẽ bị bệnh zona.
Không rõ nguyên nhân tại sao virus lại được kích hoạt trở lại và gây bệnh zona nhưng nó có thể là do khả năng miễn dịch đối với các bệnh nhiễm trùng giảm khi bạn lớn tuổi. Bệnh zona phổ biến hơn ở người lớn tuổi và những người có hệ thống miễn dịch suy yếu.
Bệnh có thể xảy ra ở mọi độ tuổi nhưng phổ biến nhất là ở những đối tượng sau đây:
- Mắc các bệnh khiến hệ thống miễn dịch suy yếu, chẳng hạn như một số bệnh ung thư như bệnh bạch cầu và ung thư hạch, HIV
- Dùng các loại thuốc ngăn hệ thống miễn dịch hoạt động, chẳng hạn như steroid và các loại thuốc chống thải ghép sau khi cấy ghép nội tạng.
Hầu hết những người mắc bệnh zona chỉ một lần trong suốt cuộc đời. Tuy nhiên, bạn có thể bị tái phát bệnh nhiều lần.

Bệnh zona thần kinh có lây không?
Nếu bạn bị bệnh zona thần kinh ở mặt, việc tiếp xúc trực tiếp với chất dịch từ các mụn nước phát ban có thể làm lây lan virus varicella zoster cho những người chưa từng mắc bệnh thủy đậu hoặc chưa bao giờ tiêm vắc xin ngừa thủy đậu. Nếu bị nhiễm trùng, họ sẽ bị thủy đậu chứ không phải bị bệnh zona. Sau đó, họ có thể phát triển bệnh zona sau này trong suốt cuộc đời.
Nguy cơ lây lan bệnh cho người khác là rất thấp nếu không tiếp xúc với vết phát ban của bệnh zona. Bên cạnh đó, khi mụn nước chưa xuất hiện và khi mụn đã đóng vảy cũng không có khả năng lây lan.
Biến chứng
Bệnh zona thần kinh ở mặt có nguy hiểm không?
Bệnh zona thần kinh ở mặt có thể gây ra nhiều biến chứng khác nhau như:
- Đau dây thần kinh sau zona. Đối với một số người, cơn đau do bệnh zona tiếp tục kéo dài trong nhiều tháng, nhiều năm sau khi các mụn nước đã hết. Tình trạng này được gọi là đau dây thần kinh sau zona. Nó xảy ra khi các sợi thần kinh bị tổn thương gửi các thông điệp cảm giác đau đớn lẫn lộn và phóng đại từ da đến não.
- Giảm thị lực. Bệnh zona thần kinh ở mắt có thể ảnh hưởng cả trong hoặc xung quanh mắt, gây nhiễm trùng mắt và có thể dẫn đến mất thị lực.
- Các vấn đề về thần kinh. Bệnh zona thần kinh ở mặt có thể gây viêm não, khó cử động 1 bên mặt, liệt mặt hoặc các vấn đề về thính giác hoặc thăng bằng.
- Nhiễm trùng da. Nếu mụn nước zona không được điều trị đúng cách, nhiễm trùng da do vi khuẩn có thể phát triển.
Chẩn đoán và điều trị
Những thông tin được cung cấp không thể thay thế cho lời khuyên của các chuyên viên y tế. Hãy luôn tham khảo ý kiến bác sĩ.
Những kỹ thuật y tế nào giúp chẩn đoán bệnh zona thần kinh ở mặt?
Bác sĩ sẽ chẩn đoán chẩn đoán bệnh zona bằng cách hỏi xem bạn đã từng bị zona hay thủy đậu chưa, cùng với triệu chứng trên mặt. Bác sĩ cũng có thể lấy dịch ở mụn nước để xét nghiệm.
Những phương pháp điều trị bệnh zona thần kinh ở mặt
Một số loại thuốc kháng virus như acyclovir, valacyclovir và famciclovir có thể giúp điều trị bệnh zona, rút ngắn thời gian và mức độ nghiêm trọng của bệnh. Những loại thuốc này có hiệu quả nhất nếu bạn bắt đầu dùng chúng càng sớm càng tốt, tốt nhất là trong vòng 3 ngày kể từ khi phát ban xuất hiện.
Bạn có thể dùng thêm thuốc giảm đau do bệnh zona thần kinh ở mặt. Chườm khăn mát, kem dưỡng da calamine; rửa mặt nước ấm trộn với bột yến mạch đã xay mịn có thể giúp giảm ngứa.
Ngoài ra, hãy giữ cho vùng phát ban khô ráo và sạch sẽ để sớm phục hồi.
Bạn có thể quan tâm: 6 cách điều trị bệnh zona thần kinh tại nhà, bạn đã thử chưa?
Phòng ngừa
Những biện pháp giúp phòng ngừa bệnh zona thần kinh ở mặt
Để ngăn ngừa lây lan virus gây bệnh cho người khác, bạn nên:
- Băng kín tổn thương trên da do zona
- Tránh chạm hoặc gãi vào vùng phát ban
- Rửa tay thường xuyên
- Tránh tiếp xúc với những người sau đây cho đến khi phát ban của bạn đóng vảy: phụ nữ có thai, trẻ sơ sinh, những người có hệ miễn dịch suy yếu.
Những người chưa tiêm vắc xin thủy đậu nên cân nhắc để sớm chích ngừa.































