có phải sùi mào gà ko
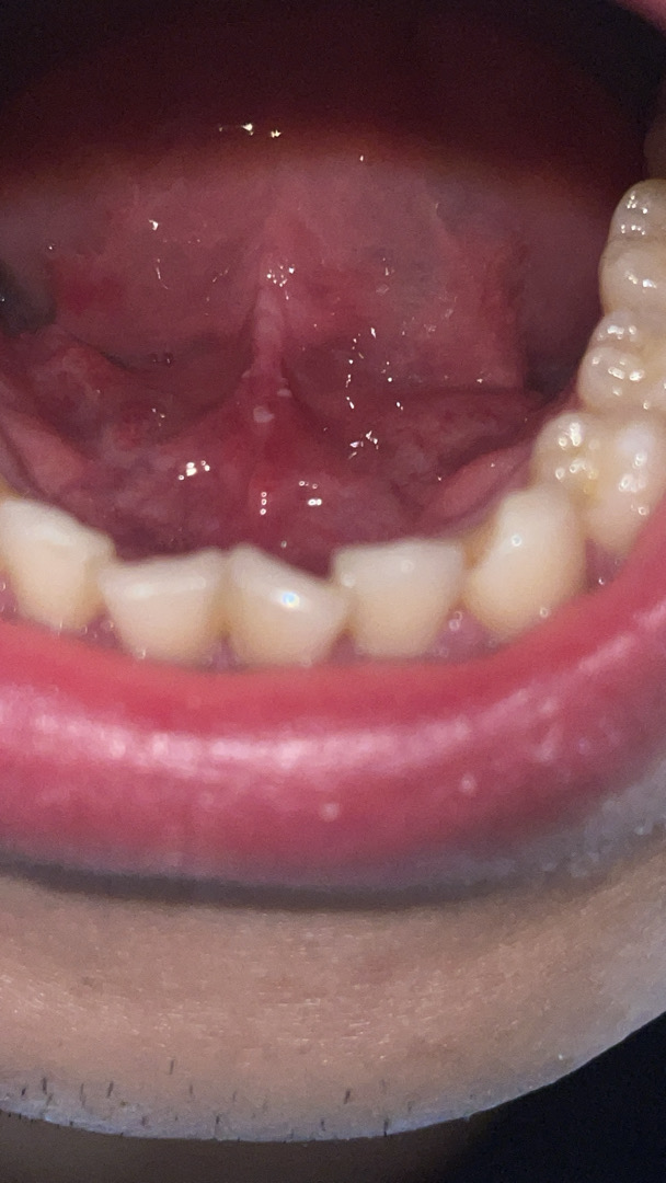
hôm nay em mới mọc mấy nốt như này dưới lưỡi có phải smg k ạ
hôm nay em mới mọc mấy nốt như này dưới lưỡi có phải smg k ạ



Bài viết tương tự
2 bình luận
Mới nhất

Bây giờ bạn có thể chủ động tham gia bằng cách đăng bài, bình luận, và vote bài viết
Lấy lời khuyên từ các Bác sĩ, Chuyên gia, và Đại sứ cộng đồng.
Chia sẻ kinh nghiệm của bạn cho những thành viên khác cần lời khuyên.
Hoạt động năng nổ và trở thành một Đại sứ cộng đồng bằng cách thu thập điểm.
Bạn ơi, để xác định có phải sùi mào gà (SMG) hay không thì chỉ nhìn bằng mắt thường chưa đủ chính xác, nhưng mình sẽ giúp bạn phân biệt một vài điểm nhận biết cơ bản nhé:
🌸 Dấu hiệu sùi mào gà ở miệng/lưỡi thường:
😬 Còn nếu là nốt lành tính hoặc sinh lý:
🩺 Cách chắc chắn để biết:
Bạn cần đến bác sĩ chuyên khoa da liễu hoặc tai mũi họng, họ có thể soi đèn, kiểm tra mô hoặc làm xét nghiệm HPV nếu nghi ngờ sùi mào gà.
Nếu bạn có quan hệ tình dục không an toàn gần đây, đặc biệt là = miệng, thì càng nên đi khám sớm bạn nhé. Càng phát hiện sớm thì càng dễ điều trị và đỡ biến chứng.
📷 Nếu bạn muốn, có thể gửi hình (nếu thoải mái) để mình hỗ trợ nhận định sơ bộ trước khi bạn đi khám. Nhưng mình vẫn luôn khuyên bạn nên gặp bác sĩ trực tiếp để chắc chắn nha.
Đi khám nhé, chứ ko hẳn là smg có thể do nguyên nhân khác mà