Quá trình chẩn đoán COPD sẽ dựa trên các dấu hiệu và triệu chứng bệnh, tiền sử tiếp xúc với các chất gây kích thích phổi (như thuốc lá) cũng như tiền sử gia đình. Bác sĩ cũng cần kiểm tra thể chất tổng quát trước khi đưa ra kết quả chẩn đoán cuối cùng.
Các triệu chứng bệnh phổi tắc nghẽn mạn tính (COPD) có khi tiến triển chậm, trong đó có nhiều triệu chứng khá phổ biến.
Khi tiến hành chẩn đoán COPD, bác sĩ sẽ sử dụng ống nghe để nghe cả âm thanh của tim và phổi, đồng thời yêu cầu một số hoặc tất cả các xét nghiệm nếu cần thiết.
Đo chức năng thông khí
Phương pháp hiệu quả và phổ biến nhất để chẩn đoán COPD là sử dụng phế dung kế, còn được gọi là đo chức năng hô hấp hay xét nghiệm chức năng phổi (PFT). Phương pháp này được tiến hành dễ dàng, không đau, giúp đo chức năng và dung tích phổi.
Để thực hiện bài kiểm tra này, bạn cần thở ra hết sức có thể vào một ống dẫn nối với máy đo phế dung. Tổng thể tích khí thở ra từ phổi được gọi là tổng thể tích khí thở ra gắng sức trong một lần (FVC).
Tỷ lệ phần trăm của FVC được đẩy ra trong 1 giây đầu tiên được gọi là FEV1. FEV biểu hiện cho thể tích khí thở ra gắng sức. Tốc độ tối đa mà bạn đẩy hết toàn bộ không khí trong phổi ra gọi là lưu lượng thở ra đỉnh (PEFR).
Kết quả đo chức năng hô hấp sẽ giúp xác định loại bệnh phổi bạn mắc phải và mức độ nghiêm trọng của nó. Bác sĩ có thể giải thích các kết quả ngay lập tức.
Thử nghiệm này là hiệu quả nhất vì nó có thể xác định bệnh phổi tắc nghẽn mạn tính (COPD) trước khi các triệu chứng quan trọng xuất hiện. Nó cũng có thể giúp bác sĩ theo dõi sự tiến triển của COPD cũng như theo dõi hiệu quả điều trị.
Thận trọng
Phép đo chức năng hô hấp (thăm dò chức năng hô hấp) đòi hỏi bạn phải thở ra hết sức, vì vậy những người gần đây bị đau tim hoặc phẫu thuật tim không nên thực hiện.
Thử nghiệm hồi phục phế quản
Phương pháp này kết hợp đo chức năng hô hấp cùng với việc sử dụng thuốc giãn phế quản, một loại thuốc giúp đường hô hấp thông thoáng hơn.
Đầu tiên, bạn phải thăm dò chức năng hô hấp để có những chỉ số cơ bản giúp đánh giá phổi đang hoạt động như thế nào. Sau khoảng 15 phút, bạn được uống một liều thuốc giãn phế quản và lặp lại phép đo chức năng hô hấp.
Thử nghiệm này phù hợp với những người đã được chẩn đoán COPD, hen suyễn hoặc cả hai. Kết quả sẽ giúp bác sĩ xác định liệu liệu pháp để điều trị giãn phế quản hiện tại có hoạt động tốt hay cần điều chỉnh hay không.
Xét nghiệm máu
Xét nghiệm máu giúp bác sĩ đánh giá các triệu chứng bệnh COPD có phải do nhiễm trùng hay một số tình trạng y khoa nào khác gây ra không.
Xét nghiệm khí máu động mạch sẽ đo nồng độ oxy và carbonic trong máu. Phép đo này cho biết mức độ nghiêm trọng của người bệnh COPD và liệu bạn có thể cần điều trị bằng liệu pháp oxy hay không.
Hầu hết mọi người đều không có vấn đề gì khi xét nghiệm máu. Bạn có thể hơi khó chịu hoặc có vết bầm rất nhỏ khi kim được đưa vào vị trí lấy máu nhưng những tác động này thường không kéo dài lâu.
Xét nghiệm gen di truyền
Mặc dù hút thuốc và tiếp xúc với các chất ô nhiễm trong môi trường là nguyên nhân chính dẫn đến COPD, yếu tố di truyền cũng có thể khiến bạn dễ mắc phải bệnh phổi tắc nghẽn mạn tính.
Bác sĩ sẽ làm xét nghiệm để kiểm tra nồng độ của alpha–1 antitrypsin (AAT). Đó là một loại protein giúp bảo vệ phổi khỏi tình trạng viêm do các chất kích thích như ô nhiễm hoặc khói thuốc. AAT được sản xuất bởi gan, sau đó giải phóng vào máu.
Những người thiếu hụt alpha–1 antitrypsin (nồng độ AAT thấp) thường phát triển COPD khi vẫn còn trẻ.
Xét nghiệm di truyền để xác định sự thiếu hụt AAT thường được thực hiện chung với xét nghiệm máu.
Sự thiếu hụt AAT chưa chắc sẽ dẫn đến các bệnh về phổi nhưng sẽ làm tăng tỷ lệ mắc bệnh COPD.
Nếu bạn được chẩn đoán COPD nhưng chưa từng hút thuốc, không làm việc với hóa chất hay chất ô nhiễm độc hại và bạn dưới 50 tuổi, rất có thể bạn đang bị thiếu hụt AAT.
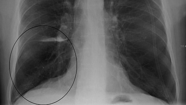
Chụp X-quang lồng ngực hoặc CT
Chụp CT là một kỹ thuật sử dụng tia X để tạo hình ảnh chi tiết hơn so với việc chụp X-quang cổ điển. Bất kỳ phương pháp dùng tia X nào mà bác sĩ lựa chọn đều giúp đưa ra hình ảnh về các cấu trúc bên trong lồng ngực bao gồm tim, phổi và mạch máu.
Bác sĩ dựa vào kết quả hình ảnh để có thể chẩn đoán COPD hoặc xác định các tình trạng bệnh khác, như suy tim, cũng gây ra các triệu chứng tương tự.
Thực hiện chụp X-quang cổ điển hay chụp CT đều không gây đau nhưng bạn sẽ tiếp xúc với một lượng nhỏ tia phóng xạ.
Bức xạ được sử dụng để chụp CT lớn hơn mức cần thiết khi chụp X-quang cổ điển. Mặc dù liều phóng xạ cho mỗi lần xét nghiệm tương đối thấp nhưng cũng góp phần vào lượng phơi nhiễm phóng xạ bạn nhận được trong suốt đời. Điều này có thể làm tăng nhẹ nguy cơ ung thư.
Tuy nhiên, các thiết bị CT mới đã cải tiến với mức bức xạ ít hơn mà vẫn tạo ra hình ảnh chi tiết.
Kiểm tra đờm, chất nhầy
Bác sĩ có thể yêu cầu bạn thực hiện xét nghiệm đờm nếu bạn ho quá nhiều.
Phân tích đờm có khả năng xác định được nguyên nhân gây khó thở và giúp phát hiện bệnh ung thư phổi. Nếu bạn bị nhiễm vi khuẩn, kết quả giúp xác định được vi khuẩn gây bệnh và điều trị dễ dàng hơn.
Bạn có thể gặp chút khó khăn khi phải cố gắng ho ra đủ đờm để thực hiện xét nghiệm. Tuy nhiên, phương pháp này không có rủi ro nguy hiểm nào mà còn rất hữu ích trong việc chẩn đoán tình trạng bệnh.
Điện tâm đồ (ECG)
Đôi khi, bác sĩ sẽ muốn bạn thực hiện đo điện tâm đồ để xác định xem tình trạng khó thở có phải do bệnh tim không.
Thế nhưng, theo thời gian, tính trạng khó thở có thể dẫn đến các biến chứng COPD liên quan đến tim bao gồm nhịp tim bất thường, suy tim và đau tim.
Điện tâm đồ giúp đo hoạt động điện trong tim và có thể giúp chẩn đoán rối loạn nhịp tim.
Nói chung, đo điện tâm đồ là một phương pháp khá an toàn, ít rủi ro. Đôi khi, bạn có thể bị kích ứng da tại khu vực dán điện cực. Một vài trường hợp, ECG bao gồm một bài kiểm tra tập thể dục, kết quả sau khi sàng lọc sẽ phát hiện ra bất kỳ nhịp tim bất thường.
Chuẩn bị cho xét nghiệm chẩn đoán COPD
Bạn không cần chuẩn bị nhiều trước khi tiến hành các xét nghiệm để chẩn đoán COPD. Bạn chỉ cần mặc quần áo thoải mái và hạn chế ăn no trước đó.
Trước khi thực hiện các phép đo chức năng hô hấp hay điện tâm đồ, bạn cần thông báo với bác sĩ về các loại thuốc bạn đang sử dụng. Một số loại thuốc có chứa chất gây nghiện, caffeine hay các hoạt động tập thể dục, hút thuốc có thể gây ảnh hưởng đến kết quả xét nghiệm.
Trường hợp cần làm thử nghiệm phục hồi phế quản, bạn sẽ ngưng sử dụng thuốc giãn phế quản cho đến khi thực hiện thử nghiệm.
Bạn có thể tham khảo ý kiến bác sĩ cũng như nhân viên y tế về các vấn đề cần chú ý trước khi thực hiện bất kỳ xét nghiệm nào. Sau đó, bạn cần đảm bảo thực hiện theo tất cả các hướng dẫn để kết quả kiểm tra chính xác nhất có thể.
































