Bệnh về võng mạc là tên gọi chung của một số bệnh về mắt do rối loạn trong võng mạc, trong đó có thoái hóa võng mạc. Các bệnh võng mạc là nguyên nhân gây mù lòa thứ 2 sau đục thủy tinh thể.
Hiểu rõ về thoái hóa võng mạc sẽ giúp bạn có cách phòng ngừa và chăm sóc tốt hơn cho đôi mắt của mình luôn khỏe mạnh. Cùng Hello Bacsi tìm hiểu nhé!
Tìm hiểu chung
Thoái hóa võng mạc là gì?
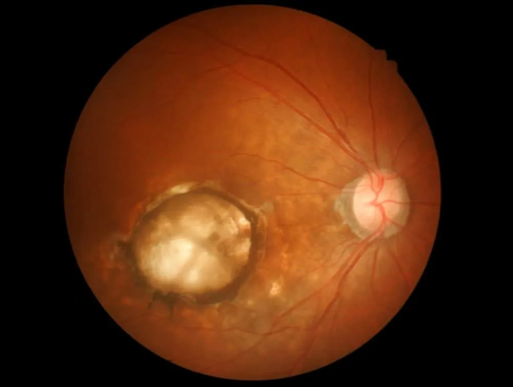
Võng mạc là một lớp mô được tìm thấy ở mặt sau của mắt. Khi ánh sáng đi vào trong mắt, sẽ đi qua giác mạc và thủy tinh thể sau đó hội tụ trên võng mạc. Võng mạc chứa hàng triệu tế bào nhạy cảm với ánh sáng (tế bào hình que và tế bào hình nón) và các tế bào thần kinh khác để tiếp nhận và tổ chức thông tin hình ảnh thị giác.
Võng mạc sẽ gửi thông tin hình ảnh này đến não thông qua dây thần kinh thị giác, giúp bạn có thể nhìn thấy được. Điểm vàng (hay còn gọi là hoàng điểm) là phần trung tâm của võng mạc giúp nhận biết độ sắc nét, màu sắc và độ rõ của hình ảnh.
Thoái hóa võng mạc là tình trạng các tế bào võng mạc của mắt bị tổn thương do nhiều nguyên nhân khác nhau gây ra. Thoái hóa võng mạc gây suy giảm thị lực. Nếu không điều trị kịp thời có thể dẫn đến mù lòa, làm suy giảm chất lượng cuộc sống một cách nghiêm trọng.

Thoái hóa võng mạc sẽ bao gồm các tình trạng sau đây:
- Thoái hóa điểm vàng do tuổi tác (AMD). Đây là dạng bệnh nghiêm trọng và phổ biến nhất của thoái hóa võng mạc. Trong thoái hóa điểm vàng, trung tâm của võng mạc bị tổn thương. Điều này gây ra các triệu chứng như mờ thị lực trung tâm hoặc một điểm mù ở trung tâm thị giác. Có hai loại thoái hóa điểm vàng là thoái hóa điểm vàng ướt và thoái hóa điểm vàng khô. Thoái hóa điểm vàng thể ướt tuy chiếm tỷ lệ thấp, nhưng lại có nguy cơ gây suy giảm thị lực nghiêm trọng.
- Thoái hóa võng mạc ngoại vi, hay thoái hóa võng mạc chu biên. Võng mạc ngoại vi là vùng võng mạc xung quanh, không ảnh hưởng đến khả năng nhìn rõ ở trung tâm nhưng quyết định vùng không gian mà mắt có thể nhìn thấy được. Một nguyên nhân phổ biến của thoái hóa võng mạc ngoại vi là cận thị. Ở người bị cận thị nặng, võng mạc sẽ bị giãn ra, mỏng dần và có thể thoái hóa thành những mảng võng mạc teo với nhiều kích thước khác nhau ở vùng ngoại vi. Thoái hóa võng mạc ngoại vi nghiêm trọng có thể gây rách võng mạc, thậm chí bong võng mạc, có thể dẫn đến mù lòa hoàn toàn.
- Viêm võng mạc sắc tố (RP), hay thoái hóa võng mạc sắc tố. Viêm võng mạc sắc tố là một bệnh thoái hóa võng mạc bẩm sinh hay di truyền. Nó từ từ ảnh hưởng đến võng mạc và gây mất thị lực ban đêm và một bên.
- Bệnh võng mạc tiểu đường. Nếu bạn bị tiểu đường, các mạch máu nhỏ (mao mạch) ở phía sau mắt có thể bị tổn thương do đường huyết cao, dẫn tới rò rỉ chất lỏng vào dưới võng mạc. Điều này làm cho võng mạc sưng lên, có thể làm mờ hoặc biến dạng tầm nhìn. Ngoài ra, mắt có thể phát triển các mao mạch mới, bất thường bị vỡ và chảy máu. Điều này cũng có thể làm ảnh hưởng đến tầm nhìn.
Triệu chứng
Những dấu hiệu và triệu chứng thoái hóa võng mạc
Hầu hết trường hợp thoái hóa võng mạc đều gây ra các triệu chứng ảnh hưởng đến thị giác. Chúng bao gồm:
- Nhìn thấy các đốm sáng, ruồi bay hoặc mạng nhện nổi trước mắt
- Tầm nhìn bị mờ, méo hoặc nhòe
- Nhìn đường thẳng bị méo mó, cong, gợn sóng,…
- Nhìn chữ bị nhỏ đi
- Quáng gà
- Nhìn thấy màng máu
- Mù một mắt đột ngột
- Thấy quầng đen
- Tầm nhìn hai bên bị hạn chế
- Suy giảm và mất dần thị lực.
Bạn có thể cần thử nhìn từng mắt để nhận ra những điều này.
Khi nào đến gặp bác sĩ?
Điều quan trọng là phải chú ý đến bất kỳ thay đổi nào trong thị lực và nhanh chóng tìm ra nguyên nhân và có biện pháp điều trị. Hãy thăm khám ngay lập tức nếu bạn đột nhiên nhìn thấy ruồi bay, chớp sáng, màn đen che trước mắt hoặc suy giảm thị lực. Đây là những dấu hiệu cảnh báo bệnh thoái hóa võng mạc có thể nguy hiểm.
Nguyên nhân
Nguyên nhân gây thoái hóa võng mạc
Các tình trạng thoái hóa võng mạc như thoái hóa điểm vàng, thoái hóa võng mạc ngoại vi,… không chỉ xảy ra ở người cao tuổi mà ngày càng trẻ hóa.
Nguyên nhân gây thoái hóa võng mạc là do mắc một số bệnh lý như:
- Đái tháo đường và tăng huyết áp làm hạn chế máu lưu thông vào võng mạc và gây thiếu máu võng mạc
- Các rối loạn mạch máu ở võng mạc: tắc động mạch trung tâm võng mạc, tắc tĩnh mạch võng mạc, thiếu máu, viêm mạch, dị dạng mạch máu…
- Các bệnh lý võng mạc toàn thân như: bệnh võng mạc tiểu đường, bệnh võng mạc do cao huyết áp…
- Các bệnh lý điểm vàng: thoái hóa điểm vàng do lão hóa, lỗ hoàng điểm, phù hoàng điểm, bong võng mạc thanh dịch…
- Các bệnh lý thoái hóa võng mạc di truyền: thoái hóa cảm thụ quang, bạch tạng…
Bên cạnh đó, bạn sẽ có nguy cơ cao mắc bệnh thoái hóa võng mạc nếu:
- Người cao tuổi
- Người mắc bệnh tiểu đường
- Người mắc bệnh tăng huyết áp
- Người có cholesterol trong máu cao
- Người hút thuốc lá thường xuyên
- Người bị béo phì
- Người bị chấn thương mắt
- Người bị cận thị nặng
- Tiền sử gia đình mắc bệnh võng mạc
- Người thường xuyên sử dụng các thiết bị công nghệ như điện thoại, máy tính bảng,…
Biến chứng
Thoái hóa võng mạc có nguy hiểm không?
Nếu không được điều trị kịp thời, thoái hóa võng mạc có thể gây suy giảm thị lực nghiêm trọng hoặc thậm chí là dẫn đến mù lòa. Khoảng 5% trường hợp thoái hóa võng mạc dẫn đến mù lòa trên toàn thế giới nên đây là căn bệnh về mắt được Tổ chức Y tế Thế giới quan tâm hàng đầu.
Trong nhiều trường hợp, những tổn thương võng mạc đã xảy ra không thể phục hồi được, nên việc phát hiện sớm và điều trị kịp thời là rất quan trọng, giúp làm chậm diễn tiến bệnh và bảo tồn thị lực cho bệnh nhân.
Chẩn đoán và điều trị
Những thông tin được cung cấp không thể thay thế cho lời khuyên của các chuyên viên y tế. Hãy luôn tham khảo ý kiến bác sĩ.
Những kỹ thuật y tế nào giúp chẩn đoán thoái hóa võng mạc?
Để chẩn đoán, bác sĩ nhãn khoa sẽ tiến hành kiểm tra mắt kỹ lưỡng và tìm kiếm những bất thường ở bất kỳ vị trí nào trong mắt.
Các kiểm tra sau có thể được thực hiện để xác định vị trí và mức độ của bệnh:
- Kiểm tra điểm vàng bằng lưới Amsler. Bác sĩ có thể sử dụng lưới Amsler để kiểm tra độ rõ của thị lực trung tâm, kiểm tra xem điểm vàng có bị mờ, bị đứt hoặc bị méo hay không nhằm đánh giá mức độ tổn thương võng mạc.
- Chụp cắt lớp kết hợp quang học (OCT). Xét nghiệm này là một kỹ thuật cho ra hình ảnh chính xác của võng mạc để bác sĩ có thể theo dõi mức độ thoái hóa điểm vàng ướt liên quan đến tuổi tác và theo dõi phản ứng với điều trị.
- Tự phát huỳnh quang Fundus (FAF). FAF có thể được sử dụng để xác định sự tiến triển của các bệnh võng mạc, bao gồm cả thoái hóa điểm vàng. FAF làm nổi bật sắc tố võng mạc (lipofuscin) tăng lên khi bị tổn thương hoặc rối loạn chức năng võng mạc.
- Chụp mạch huỳnh quang. Bác sĩ sẽ sử dụng một loại thuốc nhuộm làm cho các mạch máu trong võng mạc trở nên nổi bật dưới ánh sáng đặc biệt. Điều này giúp xác định chính xác các mạch máu đóng, mạch máu bị rò rỉ, mạch máu bất thường mới và những thay đổi tinh vi ở võng mạc.
- Chụp mạch xanh indocyanin. Thử nghiệm này sử dụng một loại thuốc nhuộm sẽ sáng lên khi tiếp xúc với ánh sáng hồng ngoại. Hình ảnh thu được cho thấy các mạch máu võng mạc và các mạch máu sâu hơn, khó nhìn thấy phía sau võng mạc trong một mô gọi là màng mạch.
- Siêu âm. Thử nghiệm này sử dụng sóng âm tần số cao để giúp xem rõ võng mạc và các cấu trúc khác trong mắt.
Những phương pháp điều trị thoái hóa võng mạc

Nhiều bệnh nhân sẽ thắc mắc rằng thoái hóa võng mạc có chữa được không? Mục tiêu điều trị lúc này chỉ là làm chậm và ngăn ngừa tình trạng bệnh tiến triển chứ không thể chữa khỏi hoàn toàn bệnh.
Có nhiều phương pháp điều trị thoái hóa võng mạc khác nhau. Lựa chọn phương pháp điều trị nào phụ thuộc vào nhiều yếu tố như loại thoái hóa, nguyên nhân gây thoái hóa võng mạc, các tổn thương kèm theo, tuổi tác và tình trạng sức khỏe tổng thể của bệnh nhân.
Điều trị bệnh võng mạc có thể phức tạp và đôi khi khẩn cấp. Các tùy chọn bao gồm:
- Liệu pháp quang đông laser. Bác sĩ sẽ sử dụng một kỹ thuật gọi là quang đông bằng laser phân tán để thu hẹp các mạch máu mới bất thường đang chảy máu hoặc đe dọa chảy máu vào mắt. Phương pháp điều trị này có thể giúp ích cho những người bị bệnh võng mạc tiểu đường. Đây cũng là giải pháp điều trị thoái hóa võng mạc ngoại vi. Theo đó tia laser có bước sóng phù hợp với phổ hấp thụ của lớp biểu mô sắc tố võng mạc sẽ được sử dụng để làm đông các lớp tế bào, gây sẹo dính giữa lớp hắc mạc và võng mạc, qua đó ngăn chặn tình trạng thoái hóa lan rộng.
- Tiêm nội nhãn. Bác sĩ có thể đề nghị tiêm thuốc vào buồng dịch kính trong mắt. Kỹ thuật này có thể có hiệu quả trong điều trị những người bị thoái hóa điểm vàng ướt, bệnh võng mạc tiểu đường hoặc các mạch máu bị vỡ trong mắt.
Sau khi thực hiện các biện pháp điều trị thoái hóa võng mạc, người bệnh cần phải tuyệt đối tuân thủ kỹ hướng dẫn, chỉ định của bác sĩ, đặc biệt là cách sử dụng thuốc và tư thế nằm, ngồi, đọc sách, cúi đầu… để võng mạc có thể hồi phục hoàn toàn.
Phòng ngừa
Những biện pháp nào giúp phòng ngừa thoái hóa võng mạc?
Việc duy trì một lối sống lành mạnh có thể góp phần phòng ngừa và kiểm soát thoái hóa võng mạc. Cụ thể:
- Mang kính bảo hộ khi chơi thể thao hoặc khi ra ngoài để bảo vệ mắt khỏi bụi bẩn và bức xạ mặt trời
- Kiểm soát lượng đường trong máu và thường xuyên tái khám nếu bị tiểu đường
- Không dụi mắt vì việc này có thể gây xước giác mạc, tạo điều kiện cho vi khuẩn xâm nhập
- Rửa mắt với nước sạch, dùng tăm bông để lấy dị vật ra ngoài, trường hợp dị vật hoặc tổn thương lớn cần đến ngay các cơ sở y tế để được điều trị
- Hạn chế sử dụng máy vi tính, máy tính bảng, xem tivi… trong thời gian dài
- Không hút thuốc lá
- Khám mắt định kỳ mỗi năm một lần để kiểm tra các bệnh về mắt nếu có.
Một số người cũng thắc mắc rằng thoái hóa võng mạc nên ăn gì? Lời khuyên là bạn nên ăn uống lành mạnh, đầy đủ chất dinh dưỡng với nhiều rau củ quả tươi xanh giàu vitamin A sẽ rất tốt cho mắt, góp phần phòng ngừa thoái hóa võng mạc.
































